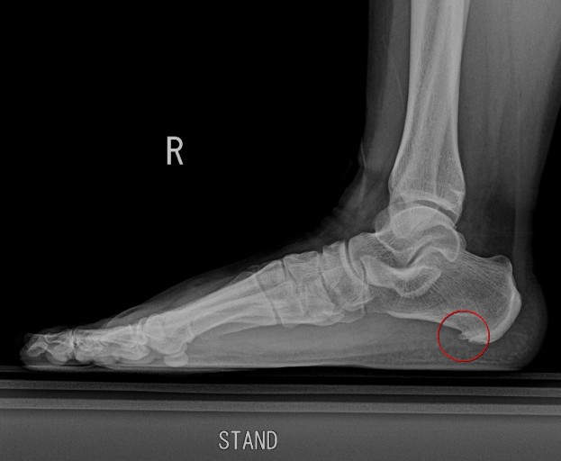
말로만 듣던 족저근막염에 걸렸다
어느순간 집안에서 걸어다니기만 해도 발뒷꿈치에 통증이 느껴지기 시작했다. 말로만 들어왔던 족저근막염에 걸린것이다. 통증이 심해서 발 뒷꿈치를 들고 걸어다녔고, 회사에서는 그동안 사용하던 얇은 슬리퍼를 갖다버렸다.
작년 봄 부터 다이어트를 한답시고 무리하게 하루 10키로씩 걷기를 진행했다. 다만 그떄 신었던 운동화가 그다지 편안하지 않았던 탓인지 , 그렇게 무리하게 걷기운동을 하기에는 내가 지나치게 과체중이었던 탓인지... 그동안 한겨울을 제외하곤 매일 신었던 뮬 때문인지 운동을 그만두며 발바닥의 통증이 함께 찾아왔다 ( 다이어트는 실패했다)

족저근막염의 원인
족저근막염은 우리 발바닥에 있는 족저근막 이라는 조직이 염증을 일으켜서 발생되는 병인데, 이 족저근막이 발바닥을 지탱하고 걸음걸이를 안정화 시키는 역할을 한다. 이 조직에 과도한 스트레스가 가해지면 염증이 생기고, 이게 바로 족저근막염이다.
주요 원인으로 과체중 , 잘못된 신발, 장시간 서있거나 걷기 등이 있는데, 나는 저 세가지에 모두 다 해당되었다 ㅜ 아무리 생각해봐도 발바닥이 너무 큰 과부하가 걸린게 원인인듯 하다

족저근막염 치료방법
인터넷을 찾아봐도 족저근막염에는 특별한 치료법이 없는 것 같다. 체외충격파를 이용하는 사람들도 있던데 개인적으로는 별 효과가 없는듯 했다. 족저근막염을 개선하기 위한 단순한 방법이 있다.
- 발바닥 스트레칭
- 편안한 신발
- 체중감량

발을 잘 지지해줄 수 있는 편안한 신발을 신고 정상체중까지 체중을 감량하며 사무실이나 집에서는 틈틈이 발바닥 스트레칭을 해준다. 가급적 방바닥을 맨발로 걸어다니지 말고 굽이 두껍고 푹신한 슬리퍼를 착용해서 무게를 분산시키는게 좋다.
집안에서 슬리퍼를 신는 습관을 들이자 ( 아파서 습관 안들어도 신게된다)
나는 현재 간헐적 단식으로 다이어트 중인데, 아무리봐도 체중감소가 가장 큰 회복방법중 하나일 것 같다.
내돈내산 족저근막염 신발 추천
그동안 족저근막염으로 고생하면서 지난 몇년간 사볼 신발을 다 산것 같다. 조금이라도 불편하면 착용이 불가능했기 때문에 기존에 신던 뮬 , 샌들, 구두, 밑창이 딱딱한 컨버스나 운동화는 그대로 봉인되어있다. 그간 착용한 신발 중 몇시간을 걸어도 편안했던 신발을 추천해보려고 한다
1. 뉴발란스 574
발이 아프기 시작하면서 기존에 신던 운동화를 못신고 무조건 편안한 신발을 찾으며 구매했다. 가장 기본 라인이라 집에 하나정도는 있을거라 생각하는데, 족저근막염은 발볼을 조이는 신발을 신으면 통증이 더 심해진다. 뉴발란스 운동화는 발 볼이 넓은편이라 그나마 착용이 편안했다.

2. 핏플랍 레더 트위스 슬라이드
날이 점점 더워지는데 평소 양말신기를 극혐하고 뮬만 신고다니던 나로서는 발이 너무너무 답답해지기 시작해서 급하게 찾아본 슬리퍼다. 사실 모양이 못생겨서 고민하다 발만 편하면 되지 뭐 하고 주문했는데, 이게웬걸? 발이 편해도 너무너무 편하다. 이전에 신었던 핏플랍에 비해서도 부드럽고, 앞쪽 레더 트위스가 부드러운 가죽소재라 잘 늘어나서 발볼도 조이지 않는다. 다만 오래신다보면 앞이 늘어날 수 있으니 사이즈는 꼭 딱 맞게 착용하는것을 권장한다. 나는 원래 구두는 230, 운동화는 235를 신는데 이제품 235를 주문했더니 살짝 넉넉한 감이 있다.
발 뒷꿈치 쿠션이 매우매우 편해서 오래 걸어다녀도 편하지만, 아무래도 슬리퍼이기 때문에 안정감은 좀 떨어진다. 여름철 사무실에서 신을 신발을 찾으시는 분들에게 추천!
핏플랍 레더 트위스 슬라이드 FFSO9E213BK
COUPANG
www.coupang.com

3. 스케쳐스 고워크 아치핏 샌들
핏플랍 슬리퍼가 아무래도 슬리퍼이다보니 발 뒷꿈치를 잡아주는게 부족해서 찾게된 스케쳐스 고워크 아치핏 샌들이다. 스포티한 디자인인데, 앞이 스트랩이라 잘 늘어나고 신고 벗기 매우 편하다. 쿠션감은 핏플랍보다는 단단한 느낌이지만 아치핏 이름답게 발 가운데 움푹 들어간 부분을 지탱해주는 부분이 있어서 오래 착용해도 편안하다.
정사이즈로 출시된 제품이고 10사이즈 단위로 나오는데, 벨크로가 조금 짧은 편이라서 한사이즈 크게 주문했어도 됐을것같다.

마무리...
집 안팍으로 편안한 신발을 신고 돌아다니며 체중감량을 하다보니 지금은 처음과 달리 많이 호전된 상태이다
다만 족저근막염이라는게 언제든 재발될 수 있고 완치개념이 없다보니 꾸준한 관리가 필요할듯 하다
특히 여자분들 구두, 뮬 많이 신는데 이거 잘못하면 발 망가지니 나처럼 고생하지 말고 각별히 주의하시길 ㅜㅜ
"이 포스팅은 쿠팡 파트너스 활동의 일환으로, 이에 따른 일정액의 수수료를 제공받습니다."
'생활정보' 카테고리의 다른 글
| 가성비 사무용 노트북 추천 (30만원대) (1) | 2023.07.04 |
|---|---|
| 면접 TIP 1분 자기소개 방법과 예시 (취뽀팁) (0) | 2023.06.30 |
| 가로주택정비사업 (모아타운/모아주택)이 뭔가요? 차이점 및 진행단지 확인 (0) | 2023.06.28 |
| 대곡소사선 드디어 개통!(7/1 부터) 운행 시간표 및 수혜단지 (0) | 2023.06.27 |
| 무료사주풀이 사이트 2개 이용 후기 (0) | 2023.06.06 |
댓글